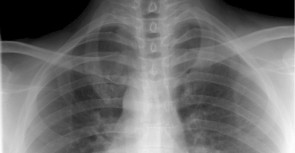
Knowledge 大師學堂 首頁 大師學堂 生活知識 全部分類 換氣知識 產品知識 生活知識 生活知識 阿根廷不明原因肺炎4死 病因指向退伍軍人症 退伍軍人症最初是在1976年美國退伍軍人協會於費城召開會議時出現,和受到汙染的水、以及不乾淨的空調系統有關,因為患者大多為退伍軍人,因此稱為退伍軍人症。 生活知識 虔誠燒香6年竟罹肺癌!避免吸入致癌物4個居家秘笈 拜拜中產生PAHs是肺腺癌高風險因素,會破壞體內遺傳物質,廚房油煙也含大量PM2.5,不使用排風裝置罹癌機率增3-12倍。